
- Strona główna
- /Twoje zdrowie
- /Co leczymy
- /Zapalenie płuc
Zapalenie płuc

Zapalenie płuc to powszechna choroba, która według danych WHO dotyka co roku nawet 450 milionów osób, cechując się śmiertelnością na poziomie około 7%. Większość jej ofiar stanowią dzieci, starsi oraz osoby o obniżonej odporności. Właśnie dlatego zapalenie płuc u osób starszych oraz zapalenie płuc u noworodków to przypadłości, których leczeniu poświęca się szczególną uwagę.
Infekcja charakteryzuje się powstaniem stanu zapalnego w miąższu płuca, czego skutkiem są kłopoty z oddychaniem, takie jak duszności czy kaszel.

Przyczyny powstawania zapalenia płuc
Istnieje wiele przyczyn, które powodują zapalenie płuc. W większości przypadków choroba ma podłoże bakteryjne, ale wyróżnia się także przypadki, w których za powstanie zapalenia odpowiadały wirusy, grzyby, czynniki chemiczne i inne. Bardzo często stosuje się także podział na szpitalne zapalenie płuc i pozaszpitalne zapalenie płuc, co związane jest ze zwiększoną zapadalnością na chorobę wśród osób poddanych np. respiracji.
Bakteryjne zapalenie płuc to najczęściej występujący pozaszpitalny rodzaj choroby.
Wyróżnia się także:
- odoskrzelowe zapalenie płuc – którego przyczynę stanowią najczęściej drobnoustroje przenikające do płuc z oskrzeli. Z uwagi na to ten rodzaj zapalenia płuc atakuje nie tylko same płuca, ale również i oskrzela. Przyczyny choroby bardzo często stanowią Streptococcus pneumoniae, czyli pneumokoki, oraz Klebsiella pneumoniae, czyli pałeczka zapalenia płuc. Do charakterystycznych objawów należą w tym przypadku dreszcze, odkrztuszana wydzielina ropna, kaszel, bóle mięśni i głowy.
- płatowe zapalenie płuc – charakteryzuje się zdecydowanie rzadszym występowaniem niż odoskrzelowe zapalenie płuc, jednak podobnie jak ono choroba powodowana jest przez Streptococcus pneumoniae. Choroba atakuje cały płat płuca (jeden lub więcej), z uwagi na co konieczna bywa hospitalizacja, szczególnie w przypadku osób starszych lub osób o obniżonej odporności.
- wirusowe zapalenie płuc – które w odróżnieniu od klasycznego zapalenia płuc dotyka w dużej mierze tkankę śródmiąższową, a nie jedynie pęcherzyki płucne. Wywoływana przez wirusy choroba leczona jest poprzez odizolowanie chorego w domu. Typowe objawy odróżniających wirusowe zapalenie płuc od innych rodzajów choroby to krwioplucie czy duszności.
- mykoplazmatyczne zapalenie płuc - Mycoplasma pneumoniae odpowiada za liczne zachorowania na zapalenie płuc wśród młodzieży szkolnej oraz dzieci w wieku przedszkolnym. Mykoplazmy to drobnoustroje powodujące zapalenia płuc o dość łagodnym przebiegu, które leczy się między innymi za pomocą antybiotyków.
Czynniki ryzyka
Wśród osób szczególnie narażonych na zapalenie płuc znajdują się dzieci, ludzie starsi oraz osoby z obniżoną odpornością. Oprócz tego wyróżnia się kilka innych czynników, które wpływają na powstawanie zapalenia płuc:
- dym papierosowy (także w przypadku „palenia biernego”)
- zanieczyszczenia powietrza (głównie powstałe w wyniku spalania biopaliw)
- choroby towarzyszące (między innymi serca, lub inne choroby płucne)
Objawy zapalenia płuc
Do najpowszechniejszych objawów zapalenia płuc zaliczyć można:
- kłopoty z oddychaniem
- gorączkę
- kaszel
- bóle głowy
- towarzyszące uczucie zmęczenia
- problemy gastryczne (takie jak na przykład wymioty,
nudności czy obniżony apetyt)
Zapalenie płuc może przebiegać w sposób bezobjawowy.
Jest to szczególnie groźna sytuacja w przypadku dzieci lub osób starszych, dlatego nie należy lekceważyć nawet najbardziej drobnych symptomów przypadłości.
Jeżeli zauważysz u siebie którykolwiek z wymienionych wyżej objawów, zgłoś się do lekarza, gdyż nieleczone zapalenie płuc może zagrażać zdrowiu. Swoją wizytę możesz zarezerwować już dziś dzięki Jutro Medical. Umów wizytę.
Czy zapalenie płuc jest zaraźliwe?
Istnieje wiele przyczyn zapalenia płuc – za jego powstawanie wini się najczęściej Streptococcus pneumonia, ale także inne bakterie, grzyby czy wirusy. Z uwagi na to warto zakładać, że zapalenie płuc jest w przeważającej ilości przypadków chorobą zakaźną, która wymusza na pacjencie izolację, jeśli tylko nie chce on zarazić innych osób. Konkretny rodzaj zapalenia płuc pomogą określić badania i diagnostyka – na ich podstawie lekarz będzie mógł z całą pewnością ustalić, czy dany rodzaj zapalenia płuc należy do zaraźliwych.
Również czas rekonwalescencji zależy od rodzaju choroby – dlatego nie istnieje łatwa odpowiedź na pytanie: ile trzeba siedzieć w domu przy zapaleniu płuc.
Ile trwa zapalenie płuc?
Wirusowe zapalenie płuc trwa, w zależności od wirusa i indywidualnych uwarunkowań chorego, około dwa tygodnie. W przypadku innych rodzajów zapalenia płuc, liczba ta może się nieco różnić – pytanie o to, jak długo trwa zapalenie płuc, warto jest stawiać już po zdiagnozowaniu rodzaju choroby. Wyróżnia się także przewlekłe zapalenie płuc - w ten sposób określa się chorobę trwającą dłużej niż kilka tygodni. Przewlekłe zapalenie płuc charakteryzuje się często nietypowymi lub ukrytymi objawami.
Leczenie zapalenia płuc
Zapalenie płuc to choroba, którą skutecznie leczy się przy pomocy antybiotyków oraz środków przeciwgorączkowych.
Pobyt w szpitalu konieczny jest jedynie w przypadku niewielkiej liczby chorych. Mowa tu głównie o osobach w wyjątkowo ciężkim stanie, z opisanej wcześniej grupy szczególnego ryzyka.
Warto dodać, że w przypadku niektórych rodzajów choroby można zdecydować się na domowe leczenie zapalenia płuc. Szczególnie wskazane jest to w przypadku wirusowego zapalenia płuc. Wirusowe zapalenie płuc dobrze reaguje chociażby na podawane siemię lniane, które umożliwia dużo łatwiejsze odkrztuszanie zalegającej w płucach wydzieliny.
Jak rozpoznać zapalenie płuc?
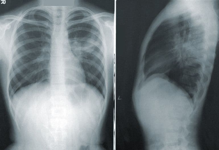
Jeśli podejrzewasz u siebie zapalenie płuc, warto przedyskutować swoje obawy z lekarzem. Pomocna w tym przypadku może okazać się konsultacja online, na którą umówisz się za pomocą czata lub przez aplikację mobilną, bez wychodzenia z domu. Pozwoli ona na dokładniejsze określenie powodu występujących problemów zdrowotnych na podstawie badania. W przypadku, w którym konieczne będzie podjęcie dalszych badań diagnostycznych - lekarz zarekomenduje wizytę w przychodni. Przy zapaleniu płuc może ona okazać się konieczna; RTG płuc to jedna z najpewniejszych metod badania, umożliwiająca jasne potwierdzenie lub wykluczenie zapalenia płuc.

Diagnozę rozpoczyna się także w oparciu o same objawy i przyczyny choroby – uważnie obserwowane pozwalają wykluczyć konkretne rodzaje zapalenia płuc.
Warto pamiętać o tym, że nieleczone zapalenie płuc może skutkować nie tylko zaostrzeniem choroby i potrzebą hospitalizacji, ale również nieprzyjemnymi powikłaniami.
Powikłania zapalenia płuc zależą w dużej mierze od rodzaju choroby. Do ogólnych, często występujących powikłań należą między innymi ropień płuca, występowanie płynu w opłucnej, chlamydiowe zapalenie płuc (jako powikłanie atypowego zapalenia płuc), wysiękowe zapalenie opłucnej. Z uwagi na to warto pamiętać o tym, by nie lekceważyć żadnych oznak choroby, nawet tak błahych, jak kaszel.
Zobacz też:
Oddechowe
Zapalenie zatok
O nawracającym zapaleniu zatok mówi się w przypadku infekcji, które przytrafiają się częściej niż dwa razy do roku. Jak zapobiegać jego skutkom?
Oddechowe
Zapalenie oskrzeli
Wszystkim chorobom oskrzeli należy poświęcać szczególną uwagę. Jednym z najczęstszych problemów związanych z oskrzelami jest bez wątpienia zapalenie oskrzeli.
Zobacz też:
Oddechowe
Zapalenie zatok
O nawracającym zapaleniu zatok mówi się w przypadku infekcji, które przytrafiają się częściej niż dwa razy do roku. Jak zapobiegać jego skutkom?
Oddechowe
Zapalenie oskrzeli
Wszystkim chorobom oskrzeli należy poświęcać szczególną uwagę. Jednym z najczęstszych problemów związanych z oskrzelami jest bez wątpienia zapalenie oskrzeli.
Sklep
